Στείλτε μας τα άρθρα σας στο info@troktico.com

Το παθογενές μυκόλασμα
Υπάρχουν 200 είδη μυκοπλάσματος. Τα περισσότερα δεν βλάπτουν. Μόνον τέσσερα-πέντε είναι παθογόνα. To Mycoplasma ίΐ Fermentans προέρχεται από τον πυρήνα του βακτηρίου Brucella. 0 παθογενής παράγοντας δεν είναι βακτήριο, ούτε ιός. Είναι μία μεταλλαγμένη μορφή του βακτηρίου Brucella, συνδυασμένη με τον ιό Visna. από τον οποίο εξάγουν το μυκόπλασμα. Το παθογενές μυκόπλασμα ήταν σχετικά αβλαβές. Η έρευνα όμως βακτηριδιολογικού πολέμου από το 1942 κατέληξε στη δημιουργία πλέον θανατηφόρων και μολυσματικών μορφών του μυκοπλάσματος.
Οι ερευνητές εξήγαγαν το μυκόπλασμα από το βακτηρίδιο Brucella, και μορφοποίησαν την αρρώστια σε κρυσταλλική μορφή. Το έκαναν όπλο και το δοκίμασαν στον ανυποψίαστο πληθυσμό της Βόρειας Αμερικής.
Ο Dr. Maurice Hilleman. επικεφαλής ιολόγος της φαρμακευτικής εταιρίες Merck Sharp & Dohme. δήλωσε ότι αυτόν τον παθογόνα παράγοντα τον φέρουν όλοι στη Βόρεια Αμερική και πιθανόν οι περισσότεροι άνθρωποι σε όλον τον κόσμο!!!
Από το Β' Παγκόσμιο Πόλεμο και έπειτα, και ειδικά μετά το 1970. υπήρξε μια τεράστια αύξηση στις εκφυλιστικές ασθένειες του νευρικού και του ανοσοποιητικού συστήματος, και ειδικά με την άφιξη ανήκουστων ασθενειών. όπως το σύνδρομο της χρόνιας κόπωσης και του AIDS.
Σύμφωνα με τον Dr. Sfiyh-Ching Lo, ανώτερο ερευνητή του Ινστιτούτου Παθολογίας Αμερικανικού στρατού και κορυφαίο ερευνητή του Μυκοπλάσματος, αυτός ο παθογόνος παράγοντας προκαλεί τις παρακάτω ασθένειες: AIDS, καρκίνο, σύνδρομο χρόνιας κόπωσης, κολίτιδα του Crohn, διαβήτη τύπου I. σκλήρυνση κατά πλάκας, πάρκινσον. ασθένεια του Wegener, ρευματοειδή αρθρίτιδα, Αλτσχάιμερ και πολλές άλλες.
Ας δούμε τώρα πώς δουλεύει το μυκόπλασμα. δρα μπαίνοντας στα κύτταρα του σώματος. Αυτό εξαρτάται από το DNA σας. Μπορεί να ανα-πτύξετε νευρολογικές ασθένειες εάν καταστρέφει κύτταρα στον εγκέφαλό σας. ή κολίτιδα του Crohn, εάν εισβάλει και καταστρέφει κύτταρα στην κοιλιά σας.
Αφού μπει στο κύτταρο, μπορεί να μην κάνει τίποτα για 10. 20 ή 30 χρόνια. αλλά ένα τραύμα ή ένα εμβόλιο μπορεί να το ενεργοποιήσει. Επειδή το παθογενές μυκόπλασμα είναι μόνον το DNA του μεταλλαγμένου βακτηριδίου. δεν διαθέτει όργανα για να επεξεργαστεί τις τροφές του. Έτσι, μεγαλώνει παίρνοντας έτοιμες στερόλες από το κύτταρο που το φιλοξενεί. Στην κυριολεξία σκοτώνει το κύτταρο. Το κύτταρο διαλύεται και ότι απομείνει μπαίνει στην κυκλοφορία του αίματος .
Επειδή ο κρυσταλοποιημένος παθογενής παράγοντας διαλύεται στο αίμα οι συνηθισμένες εξετάσεις αίματος των ιστών δεν αποκαλύπτουν την παρουσία τους . Το μυκόπλαμα κρυσταλοποιείται μόνο σε 8,1 ph και το αίμα σας έχει 7,4 ph έτσι ο γιατρός , μη έχοντας αποδείξεις νομίζει ότι είστε κατά φαντασία ασθενής η το βαφτίζει αυτοάνοσο νόσημα .
GRISTIAN PERMONNE Γάλλος ιολόγος είπε για εμβόλιο mRNA¨Δεν είναι εμβόλιο αλλά προϊόν γονιδιακής θεραπείας μπόρει να μεταλλαξει γενετικά τα παιδία μας ¨
Ανακοίνωση Pfizer bio tech: Το εμβόλιο δεν έχει τσιπάκι . Το εμβόλιο περιέχει ένα μοναδικό ενεργό συστατικό , ένα μόριο που λέγεται αγγελιοφόρος RNA , περιέχει γενετική οδηγία ώστε ο οργανισμός να παράγει την προεξέχουσα πρωτεϊνική ακίδα (spke) στην επιφάνεια του κορονοϊού . Το mRNA καθοδηγεί το ανθρώπινο κύτταρο στην παραγωγή της εν λόγο πρωτεΐνης του κορονοϊού παράγουν κύτταρα μνήμης. Η μοριακή μνήμη ενεργοποιεί την άμυνα κατά του sars-cov-2 και δε επιδρά στον ίδιο τον ίο σε αδρανοποιημένη μορφή , παραδοσιακό εμβόλιο, αλλά στον τεχνητό δημιουργημένο και δρα στο ανθρώπινο DNA
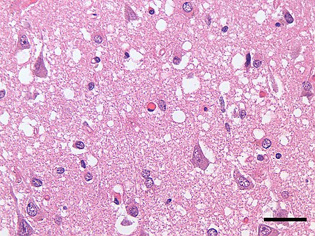
Ο βιολόγος ιολόγος Λικ Μοντανιέ (18/02/1932-08/02/2022) είχε ανακαλύψει τον ίο του AIDS(HIV) βραβευμένος με νόμπελ ιατρικής (2008), σε συνέντευξη του στο sud radio 17/11/2021 ανέφερε κρούσματα της νόσου prion τύπου τρελών αγελάδων σε διαφορετικούς ανθρώπους που το μόνο κοινό πού είχαν ήταν ότι είχαν κάνει και τις δύο δόσεις του ιδίου ακριβώς υιικού εμβόλιού .
Το prion προκαλεί τρέλα καθώς εκφυλίζει τον εγκέφαλο δημιουργούνται άνοια , αστάθεια βαδίσματος και ισορροπίας ,σπασμούς , αλλαγή συμπεριφοράς η προσωπικότητας διαταραχή ομιλίας ως και απώλεια μνήμης , κατάθλιψη και παράνοια .
Υπάρχουν έξι (6) διαφορετικές τεχνολογίες εμβολίου
Phizer – Modena mRNA
Sputnik , Astra Zeneca, DNA
Κινέζικο μόνο πρωτεΐνης
Sanofi
Κανένα δεν έχει πάρει έγκριση από τον FDA μόνο επείγουσα εξουσιοδότηση , ασαφείς παραμένουν οι παρενέργειες και τα αποτελέσματα τους , όλοι οι εμβολιασμένοι μπαίνουν σε παρακολούθηση για δύο(2) χρόνια . Επειδή δεν υπάρχει έγκριση τα εμβόλια δεν μπορούν τα πουληθούν ελεύθερα.
Έρευνα από τους συνεργάτες του Τρωκτικού